Conveniently located throughout Brisbane
No referral needed
If there have been a distortion of the joint that includes severe pain, swelling and inability to bend the arm, you’ve come to the right place.

REFERRAL
Within 24 hours
Urgent Care Required

IMAGING
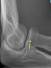
Suggest X-ray

MANAGEMENT
Thermoplastic Elbow immobilisation water proof orthosis. 6 weeks immobilisation. AROM all unaffected joints. Radial Head Stabilisation program from 6 weeks.
WHAT IS DISLOCATED ELBOW?
A dislocated elbow occurs when the bones that make up the elbow joint are forced out of alignment – typically when you land on an outstretched hand during a fall.
The elbow is the most commonly dislocated joint in children and is sometimes known as a pulled elbow if they are swung or lifted by their forearms.
DISLOCATED ELBOW SYMPTOMS
Symptoms of a dislocated elbow can include severe pain in the elbow, swelling, and inability to bend your arm, there will also be obvious distortion of the joint in some cases, you may lose feeling in your hand.
It’s also a common injury in sporting codes like football, basketball, netball and many other sports where impact to the arm and wrist can cause a dislocation of the elbow with or without a ligament injury.
Elbow dislocations can vary from mild to more serious injury that requires surgery. Expert early diagnosis is really important in elbow dislocations.
Our Hand Therapists, Physiotherapists and Occupational Therapists are experienced in reading X-rays and CT’s for elbow dislocations and they will be able to guide your treatment depending on the severity of your dislocation.
Call us on (07) 3205 7019 for an appointment, or schedule an appointment online by clicking the button below.
Our Physiotherapists and Occupational Therapists have extensive knowledge and experience in assessing, diagnosing, treating, and managing your hand and upper extremity – your shoulder, elbow, wrist, and hand – injuries or conditions, so you know you’re in good hands.
The hand therapists at Action Rehab Hand Therapy Clinic are experienced in the assessment and treatment of elbow dislocation. With a reputation endorsed by sporting organisations like the Brisbane Football Club, Action Rehab Hand Therapy Clinic is the smart choice for treating your dislocated elbow.
- No referral needed
- Nonsurgical treatment prioritised where possible
- Working with some of Brisbane’s top sporting clubs
Get on the road to recovery, so you can do the things you love.
DISLOCATED ELBOW TREATMENT
Most elbow dislocations are treated by keeping the elbow immobile in a splint or sling for 1 to 3 weeks, followed by early motion exercises.
Without careful assessment and treatment, serious complications can arise. To help you to heal and minimise complications it is important to seek referral to a Hand Therapist, Physiotherapist or Occupational Therapist at Action Rehab Hand Therapy Clinic.
Action Rehab Hand Therapy Clinic hand therapists can assess, advise, and treat dislocated elbows and seek specialist surgical opinion when required. Our therapists have the ability to read X-rays and CT scans and the Hand Therapist at Action Rehab Hand Therapy Clinic can assess medical imagery deciding the most appropriate treatment plan for your elbow dislocation.
Poorly managed, an elbow dislocation can be stiff and painful creating problems later in life and the possible need for reconstructive surgery. It’s these complications that make your decision to visit a hand therapist at Action Rehab Hand Therapy Clinic so important. It’s so you get the right sling/brace/splint/cast, treatment, therapy, and exercises for the specific elbow dislocation you have.
If the elbow is kept immobile for a long time, the ability to move the elbow fully (range of motion) may be affected.
Conservative Approach
Treatment of your elbow dislocation will vary depending on the severity of the injury. Your Hand Therapist, Physiotherapist or Occupational Therapist at Action Rehab Hand Therapy Clinic will be able to assess your elbow dislocation and provide you with the most appropriate treatment. Generally a short period of immobilisation 1-3 weeks is required in a brace prior to a range of motion and then strengthening and stabilisation program as prescribed by your Hand Therapist, Physiotherapist or Occupational Therapist at Action Rehab Hand Therapy Clinic.
See below the two treatment approaches for a patient who has dislocated elbow.
Fig 1: Basic Treatment
Treatment in a sling is common post elbow dislocation but this does not allow you to function, makes washing and dressing difficult and can make your elbow stiff and painful.
Fig 2: Action Rehab Hand Therapy Clinic Treatment
At Action Rehab Hand Therapy Clinic we will try to avoid the sling if possible and allow you range of motion in a hinged elbow brace as soon as the dislocation is stable. Wearing a brace will allow you increased function and use of your unaffected joints such as your wrist and your hand.
To Book Call Us On (07) 3205 7019
Call us on (07) 3205 7019 for an appointment, or schedule an appointment online by clicking the button below.
CHOOSING THE RIGHT THERAPIST FOR DISLOCATED ELBOW
Dislocated Elbow is complex and can lead to serious complications and frustrations if not treated appropriately.
Choosing the right hand Therapist starts with them being able to read your X-rays and then fabricate the right brace for you. The therapists at Action Rehab Hand Therapy Clinic are experienced in assessing and reading X-rays.
Our therapists do regular GP and Emergency Doctor training and can advise on the most appropriate action for your Dislocated Elbow treatment.
Known for providing treatment for dislocated elbow and other hand, wrist, elbow and shoulder injuries Action Rehab Hand Therapy Clinic are the hand therapists that Brisbane trusts.
To make an appointment, enquire, or find your closest location call us on (07) 3205 7019 or schedule an appointment online.
DISLOCATED ELBOW FAQS
Dislocated Elbow is very common with children, falling off bikes or monkey bars or being swung around by their parents and friends. It is also common in ball sports such as football, netball and basketball. Dislocated Elbow is a common sports related injury and Action Rehab Hand Therapy Clinic are experts in sports trauma.
Dislocated Elbow is caused by a trauma to the hand, wrist or arm that pushes the elbow in a forced direction suddenly.
Dislocated Elbow takes about 6-8 weeks to recover but depending on the type of injury it may take longer.
No generally Dislocated Elbow does not require surgery however severe dislocations will require surgical opinion. Action Rehab Hand Therapy Clinic therapists can assess the X-ray and can advise if your Dislocated Elbow injury needs a surgical opinion.
Dislocated Elbow can be a serious injury. You should always see a Hand Therapist if you have a Dislocated Elbow injury because they are much more complicated than you think.
BOOK AN APPOINTMENT NOW
Action Rehab Hand Therapy Clinic provide assessment and treatment for all conditions relating to the upper limb, including dislocated elbow. Come and see our highly qualified and friendly staff today at a location convenient to you.




