Conveniently located throughout Brisbane
No referral needed
If you have seen some swelling and weakness in a dislocated finger that looks short or out of shape, you’ve come to the right place.

REFERRAL
Within 24 hours, urgent care required

IMAGING
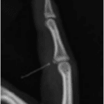
Suggest X-ray

MANAGEMENT
Thermoplastic Water proof orthosis – Dorsal blocking water proof orthosis. 6 weeks
splinting. AROM. Wean to Thermoplastic Buddy water proof orthosis
WHAT IS FINGER DISLOCATION VOLAR PLATE?
Finger Dislocation is when the joint is knocked out either by a ball or a force. This damages the ligaments (volar plate) and can lead to a flexion deformity. Early splinting and treatment can prevent this.
Dislocation occurs most commonly in sports, where a finger is either bent to far backwards or pushed forwards with a lot of force.
SYMPTOMS OF FINGER DISLOCATION VOLAR PLATE
Call us on (07) 3205 7019 for an appointment, or schedule an appointment online by clicking the button below.
Our Physiotherapists and Occupational Therapists have extensive knowledge and experience in assessing, diagnosing, treating, and managing your hand and upper extremity – your shoulder, elbow, wrist, and hand – injuries or conditions, so you know you’re in good hands.
The hand therapists at Action Rehab Hand Therapy Clinic are experienced in the assessment and treatment of Dislocated Finger Volar Plate. With a reputation endorsed by sporting organisations like the Brisbane Football Club, Action Rehab Hand Therapy Clinic is the smart choice for treating your Finger Dislocation Volar Plate.
- No referral needed
- Nonsurgical treatment prioritised where possible
- Working with some of Brisbane’s top sporting clubs
Get on the road to recovery, so you can do the things you love.
View the video below to learn more about what causes finger dislocations in sports and how Action Rehab Hand Therapy Clinic protects and rehabilitates the finger after injury.
FINGER DISLOCATION TREATMENT
Finger dislocation treatment management is really simple. Generally the hand therapist at Action Rehab Hand Therapy Clinic will read your xrays and understand the mechanism of your dislocation. Treatment will consist of a small dorsal finger splint for a period of up to 6 weeks.
Once your dislocation has stabilized then the Action Rehab Hand Therapy Clinic hand therapist will advise you on a stretching and strengthening program that will allow you to return to full function. The aim being to return you to sport as soon as you can.
Does Finger Disclocation Require Surgery?
Generally no Finger dislocation should not require surgery but if the joint is severely displaced or if you leave it too long before seeking appropriate Hand Therapy treatment then you may require surgery. To minimise complications you should consult a Hand Therapist at Action Rehab Hand Therapy Clinic as soon as possible to have your finger assessed and then appropriately treated. This will minimise complications further down the track and return you to sport and full function sooner.
A delay in seeking hand therapy treatment may result in future complications.
Fig 1: Basic Treatment
A metal splint being used to treat a finger dislocation. It does not allow a full range of motion.
Fig 2: Action Rehab Hand Therapy Clinic Treatment
Your Action Rehab Hand Therapy Clinic Hand Therapist will provide you with a comfortable finger splint to treat injury. It is lightweight, water resistant and allows full range of motion whilst protecting the finger and allowing the dislocation or fracture to heal.
TREATMENT OF FINGER DISLOCATION OR SPRAINED FINGER
Finger dislocations and knocks are often referred to a sprained finger. These are common in ball sports where a player or a ball disrupts the ligaments or the tendons in the finger joints. The finger can be bent backwards or sideways and may or may not be able to be put back in place. This might result in a volar plate ligament, small fracture or collateral ligament injury that is best treated early with Hand Therapy. Delayed treatment may result in a stiff and deformed finger that may not be functional leading to further complications.
Volar Plate dislocation is the result of a rupture (or small fracture) of the stabilising ligament that sits on the palm side of the joint. It is usually caused by forced extension or a sideways push of the finger when hit by a ball or caught in a jumper. A small lightweight, customised, water resistant splint or orthosis can help stabilise the fracture or ligament injury and allow the joint to heal without deformity.
Strained or Fractured Fingers can be a big problem in sport. Patients generally have difficulty bending and straightening their hand and fingers which makes catching and throwing hard or almost impossible. If the injury is referred and treated early it can significantly decrease complications and you can return to sport or function much sooner.
To Book Call Us On (07) 3205 7019
Call us on (07) 3205 7019 for an appointment, or schedule an appointment online by clicking the button below.
CHOOSING THE RIGHT THERAPIST FOR FINGER DISLOCATION VOLAR PLATE
At Action Rehab Hand Therapy Clinic, our Hand Therapist, Physiotherapists, and Occupational Therapists have extensive experience assessing Finger Dislocation and Volar Plate avulsions.
We will take the time to assess and treat your condition, and we will tailor a splinting and strengthening program to treat your dislocated finger. At Action Rehab Hand Therapy Clinic we treat hundreds of patients every year, and a strengthening and stabilisation program can assist with symptoms of Finger Dislocation and Volar Plate injury that may return you to sport and function more quickly.
To make an appointment, enquire, or find your closest location call us on (07) 3205 7019 or schedule an appointment online.
FINGER DISLOCATION VOLAR PLATE FAQS
It is caused by a traumatic force in any direction that can be caused by a blunt force or a torsion force on the finger. This can pull the joint out of place and damage the ligaments or even cause a small break.
Finger dislacations are one of the most common injuries seen by a Hand Therapist. At Action Rehab Hand Therapy Clinic, our Physiotherapists and Occupational Therapists work with a large number of sports men and women and so Finger dislocations would be one of the most common injuries that we would see.
Recovery often depends on how long the symptoms have been present before you seek treatment. Basically don’t delay! If a Finger Disloaction is treated early then it can be stabilised quickly and prevented from becoming a deformity that limits hand function.
Yes in some cases the dislocation can be so bad that it may require surgery. The Hand Therapists at Action Rehab Hand Therapy Clinic are experienced in assessment and diagnosis of a finger dislocation. If surgery is required your Hand Therapist can advise you on who the best surgeon is to treat your injury.
A Finger Dislocation is a painful condition and so it is serious. Generally it is easy to treat so early treatment and strengthening and stabilisation will help control it and return you to full function.
In some cases where there is only a small injury then the ligaments can return to their “normal” stability and so the condition can “go away”. However, in most cases the problem becomes quite severe and there can be long term scarring and you may develop what is called a fixed flexion deformity. These are difficult to treat and may remain long after the injury occurs. Don’t wait for it to “go away’, seek treatment with Action Rehab Hand Therapy Clinic as soon as you can to avoid deformity and complications and return to sport and function as soon as you can.
BOOK AN APPOINTMENT NOW
Action Rehab Hand Therapy Clinic provides assessment and treatment for all conditions relating to the upper limb, including finger dislocation. Come and see our highly qualified and friendly staff today at a location convenient to you.




