GREENSTICK OR PAEDIATRIC BUCKLE FRACTURE TREATMENT
Conveniently located throughout Brisbane
No referral needed
If you’ve injured or are experiencing significant pain and swelling, discomfort, and an obvious deformity with your wrist, you’ve come to the right place.

REFERRAL
Within 24 hours Urgent Care Required

IMAGING
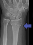
Suggest X-ray

MANAGEMENT
Wrist and forearm based water proof cast or comprehensive circumferential orthosis for up to 6 weeks followed by strengthening and range of motion exercises.
WHAT IS GREENSTICK OR PAEDIATRIC BUCKLE FRACTURES?
Wrist fractures, breaks or greenstick injuries in children are common and can be pretty traumatic. They generally result from sustaining a fall on an outstretched hand, also known as ‘FOOSH’. Common causes of greenstick fracture or paediatric buckle fracture include falling off gym equipment, skateboards and bicycles.. just to name a few. Unlike adult bones, children tend to “bend” before they break and so all of these types iof fractures are stable, they heal quickly and can be treated in a light weight “cast” thaty is water proof and allows children to get on with their lives like swimming!
SYMPTOMS OF GREENSTICK FRACTURE OR PAEDIATRIC BUCKLE FRACTURE
Signs and symptoms will vary, depending on the severity of the greenstick fracture. Mild fractures might be mistaken for sprains or bruises. More-severe greenstick fractures may cause an obvious deformity, accompanied by significant pain and swelling. Your hand therapist at Action Rehab Hand Therapy Clinic will be able to read your xray, assess your injury and treat it appropriately to maximise function. Greenstick or Buckle Fractures are stable, they do not need surgery and they heal quickly with the right care.
Call us on (07) 3205 7019 for an appointment, or schedule an appointment online by clicking the button below.
Our Hand Therapists, Physiotherapists and Occupational Therapists have extensive knowledge and experience in assessing, diagnosing, treating, and managing your hand and upper extremity – your shoulder, elbow, wrist, and hand – injuries or conditions, so you know you’re in good hands.
The hand therapists at Action Rehab Hand Therapy Clinic are experienced in the assessment and treatment of greenstick fracture. With a reputation endorsed by sporting organisations like the Brisbane Football Club, Action Rehab Hand Therapy Clinic is the smart choice for treating your greenstick fracture or paediatric buckle fracture.
- No referral needed
- Nonsurgical treatment prioritised where possible
- Working with some of Brisbane’s top sporting clubs
Get on the road to recovery, so you can do the things you love.
GREENSTICK FRACTURE TREATMENT
At Action Rehab Hand Therapy Clinic we would treat Greenstick or paediatric buckle fractures with our custom made thermoplastic waterproof orthosis. This custom made ‘cast’ traditionally stays on the patient for 6 weeks till we re-xray and take the next step in treatment.
Children heal much faster than adults, and generally do not require as much splinting/immobilization time- we will advise on this during your appointment. We will tailor the splinting time/rehab to the specific injury based on our assessment and reviewing imaging.
We use splints that are waterproof, so kids can still swim and shower with their cast on, making life much easier!
See below the two treatment approaches for a patient who has greenstick fracture.
Fig 1: Basic Treatment
A traditional “Plaster Cast” is very heavy and cannot get wet so your child will miss out on summer swimming or playing with their friends.
Fig 2: Action Rehab Hand Therapy Clinic Treatment
At Action Rehab Hand Therapy Clinic your hand therapist with fabricate a custom made lightweight water proof “cast” that can be made to stay on at all times and keep you protected.
To Book Call Us On (07) 3205 7019
Call us on (07) 3205 7019 for an appointment, or schedule an appointment online by clicking the button below.
CHOOSING THE RIGHT THERAPIST FOR GREENSTICK FRACTURE
Greenstick Fracture or Paediatric Buckle Fracture is complex and can lead to serious complications and frustrations if not treated appropriately.
Choosing the right hand therapist starts with them being able to read your X-rays and then fabricate the right brace for you. The therapists at Action Rehab Hand Therapy Clinic are experienced in assessing and reading X-rays.
Our therapists do regular GP and Emergency Doctor training and can advise on the most appropriate action for your Greenstick Fracture treatment.
Known for providing treatment for greenstick fracture and other hand, wrist, elbow and shoulder injuries Action Rehab Hand Therapy Clinic are the hand therapists that Brisbane trusts.
To make an appointment, enquire, or find your closest location call us on (07) 3205 7019 or schedule an appointment online.
GREENSTICK FRACTURE FAQS
Greenstick is the most common injury seen in children at Action Rehab Hand Therapy Clinic. A Greenstick or buckle fracture is a common play related injury and Action Rehab Hand Therapy Clinic are experts in the assessment and treatment of these injuries.
Greenstick is caused by a fall onto the hand often from swings, monkey bars, trees or siblings!
Greenstick buckle fractures take about 6 weeks to recover but depending on the type of fracture it may heal more quickly. Weirdly Greenstick injuries are not really “breaks” and children’s bones bend before they break.
No. These are stable and never require surgery. They heal well with a good “cast” and appropriate treatment.
BOOK AN APPOINTMENT NOW
Action Rehab Hand Therapy Clinic provide assessment and treatment for all conditions relating to the upper limb, including greenstick or paediatric buckle fractures. Come and see our highly qualified and friendly staff today at a location convenient to you.




