Conveniently located throughout Brisbane
No referral needed
If you have a little swelling in the knuckles or an inability to fully bend the fingers or fully straighten them, you’ve come to the right place.

REFERRAL
Within 1 week

IMAGING
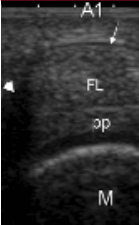
Suggest Ultrasound

MANAGEMENT
Thermoplastic Trigger finger water proof orthosis. 6 week splinting with gradual tendon re-education program through AROM.
WHAT IS TRIGGER FINGER?
DIAGNOSING TRIGGER FINGER
Trigger finger will start as just a little swelling or an inability to fully bend the fingers or fully straighten them. This is because swelling starts to settle in the knuckles of the fingers around the A1 or first pulley in the hand. The knuckles need to be stable and in some cases especially repetitive gripping a person might lose this stability and then become swollen and develop a trigger finger.
The sooner your trigger finger is diagnosed the less likelihood there is for complications. Seeking early hand therapy assessment and advice may be helpful. Trigger finger will change from just a swelling to a clicking and then a locking in many patients. The sooner you are assessed and diagnosed by a Hand Therapist at Action Rehab Hand Therapy Clinic then hopefully the less complications there are.
Call us on (07) 3205 7019 for an appointment, or schedule an appointment online by clicking the button below.
TRIGGER FINGER AND PREGNANCY
Trigger finger can occur during or after pregnancy. This is commonly associated with swelling that can settle in the hands later in pregnancy or it could be due to damage (scarring) of the tendons that might have occurred after the birth of the baby. Trigger finger during pregnancy can be annoying and painful.
Our Physiotherapists and Occupational Therapists have extensive knowledge and experience in assessing, diagnosing, treating, and managing your hand and upper extremity – your shoulder, elbow, wrist, and hand – injuries or conditions, so you know you’re in good hands.
The hand therapists at Action Rehab Hand Therapy Clinic are experienced in the assessment and treatment of Trigger Finger. With a reputation endorsed by sporting organisations like the Brisbane Football Club, Action Rehab Hand Therapy Clinic is the smart choice for treating your Trigger Finger.
- No referral needed
- Nonsurgical treatment prioritised where possible
- Working with some of Brisbane’s top sporting clubs
Get on the road to recovery, so you can do the things you love.
View the video below to learn more about what causes trigger finger in pregnancy and how Action Rehab Hand Therapy Clinic protects the trigger and stops it from getting more inflamed. As explained by Action Rehab Hand Therapy Clinic founder Ben Cunningham.
TRIGGER FINGER TREATMENT
Trigger finger treatment and management is really simple. Generally the hand therapist at Action Rehab Hand Therapy Clinic will establish the cause of your trigger finger and then provide you with a small water resistant ring brace. This brace is small and functional and protects the knuckle of your trigger finger. Once you have settled the symptoms of trigger finger in the brace then the Action Rehab Hand Therapy Clinic hand therapist will advise you on a stretching and strengthening program that may prevent the trigger finger from recurrence.
Does Trigger Finger Require Surgery?
Generally no Trigger Finger should not require surgery. At Action Rehab Hand Therapy Clinic your Hand Therapist, Physiotherapist or Occupational Therapist will assess and treat your symptoms. This will minimise the need for surgery.
A delay in seeking hand therapy treatment may result in more complications and a loss of function.
Fig 1: Basic Treatment
A metal splint being used to treat a finger trigger injury. It does not allow a full range of motion, nor does it protect the trigger.
Fig 2: Action Rehab Hand Therapy Clinic Treatment
A trigger finger splint to treat injury. It is lightweight, water resistant and allows full range of motion whilst protecting the trigger, preventing further inflammation.
To Book Call Us On (07) 3205 7019
Call us on (07) 3205 7019 for an appointment, or schedule an appointment online by clicking the button below.
CHOOSING THE RIGHT THERAPIST FOR TRIGGER FINGER
It is important when you have trigger finger that you choose Action Rehab Hand Therapy Clinicfor your treatment. Therapists at Action Rehab Hand Therapy Clinic are experienced in the assessment and treatment of trigger finger.
Your Action Rehab Hand Therapy Clinic therapist will not suggest a steroid injection unless it is clinically appropriate to do so and it will be in conjunction with a splinting, stretching and stabilisation program not just an injection in isolation.
This is why it is important to see a Hand Therapist at Action Rehab Hand Therapy Clinic for your trigger finger.
Known for providing treatment for trigger finger and other hand, wrist, elbow and shoulder injuries, Action Rehab Hand Therapy Clinic are the hand therapists that Brisbane trusts.
To make an appointment, enquire, or find your closest location call us on (07) 3205 7019 or schedule an appointment online.
TRIGGER FINGER FAQS
Trigger finger is very common and can occur in up to 50% of rowers, 10% of pregnancies and 3-4% of the general population. It is one of the most common conditions seen at Action Rehab Hand Therapy Clinic.
Trigger finger can be caused by repetitive gripping such as rowing or by swelling in the case of pregnancy or it can also be caused by diabetes.
It can take a long time to recover from Trigger Finger. It is really important to seek treatment early and not wait for the locking because the sooner it is prevented from locking then the sooner it improves.
Generally Trigger Finger does not require surgery. However if the finger is locking and treatment is not having the desired effect then your Hand Therapist at Action Rehab Hand Therapy Clinic will be able to refer you to the appropriate surgeon to have it treated.
Yes. It is very debilitating when your Trigger Finger gets stuck in your palm and in extreme cases it can get stuck and not straighten so early assessment by a Hand Therapist is a good idea.
No, if it is untreated it will deteriorate and get worse so seek early treatment for your Trigger Finger from a Hand Therapist at Action Rehab Hand Therapy Clinic.
BOOK AN APPOINTMENT NOW
Action Rehab Hand Therapy Clinic provide assessment and treatment for all conditions relating to the upper limb, including trigger finger. Come and see our highly qualified and friendly staff today at a location convenient to you.




